Kemikler çok kolay kırılır ve bu durum yaşamı zorlaştırır. Cam kemik hastalığı tedavisi, kırıkları önlemeye ve kemikleri güçlendirmeye odaklanır. İlaçlar, fizik tedavi ve gerekirse cerrahi yöntemler kullanılır. Düzenli takip ve önlemler, hastaların günlük yaşamda güvenle hareket etmesini sağlar.
Cam Kemik Hastalığı Tedavisi Kimler İçin Uygundur?

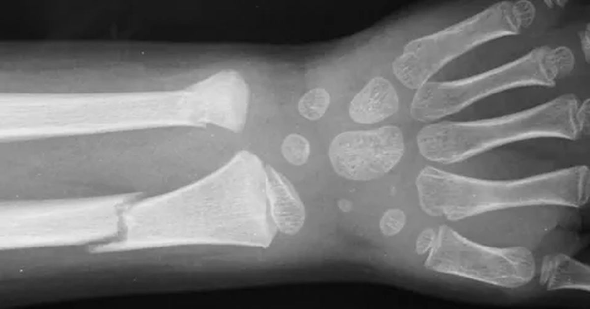
Bu hastalık, kemiklerin olağanüstü kırılgan olmasına yol açan genetik bir rahatsızlıktır. Bu durum, özellikle küçük travmalarda bile kemik kırıklarına neden olabilir ve hastaların yaşamını zorlaştırır. Erken teşhis, kırıkların önlenmesi ve yaşam kalitesinin artırılması açısından kritik öneme sahiptir. Hastalar, kemik sağlığını korumak ve günlük aktivitelerini güvenli şekilde sürdürebilmek için doğru yaklaşımlara ihtiyaç duyar.
Özellikle sık kırık yaşayan, kemik deformiteleri gelişmiş veya büyüme çağındaki çocuklar için cam kemik hastalığı tedavisi uygundur. Tedavi, kemik yoğunluğunu artırmayı, kırıkları önlemeyi ve hareket kabiliyetini geliştirmeyi hedefler. İlaç tedavisi, fizik tedavi ve gerekirse cerrahi müdahaleler, hastanın yaşına ve hastalığın şiddetine göre planlanır. Bu süreç, hem hastanın güvenliği hem de uzun vadeli sağlık açısından önemlidir.
Tedavi planı kişiye özel hazırlanır. Yaş, kemik yoğunluğu, kırık geçmişi ve genel sağlık durumu göz önünde bulundurulur. Küçük kırıkları olan hastalar genellikle konservatif yöntemlerle izlenir. Ancak büyük kırıklar, deformite riski taşıyan kemikler veya ciddi hareket kısıtlılığı durumunda cerrahi müdahale gerekebilir. Düzenli takip, tedavinin etkinliğini artırır ve komplikasyonları önler.
Sonuç olarak, kemik sağlığını korumak ve kırık riskini azaltmak isteyen kişiler için cam kemik hastalığı tedavisi etkili bir çözümdür. Tedavi hem ilaç hem fizik tedavi hem de cerrahi yöntemleri kapsar. Hastalar, düzenli takip ve önlemler sayesinde günlük yaşamlarını güvenle sürdürebilir. Uzun vadede daha sağlıklı kemik yapısına kavuşabilirler.
Cam Kemik Hastalığı Tedavisi Hangi Durumlarda Uygulanır?
Cam kemik hastalığı, kemiklerin aşırı kırılgan olmasına yol açan nadir bir genetik rahatsızlıktır. Bu durum, küçük travmalarda bile kemiklerin kırılmasına ve yaşam kalitesinin düşmesine neden olur. Hastalar, sık kırıklar ve kemik deformiteleri ile karşılaşabilir. Erken tanı ve doğru önlemler, kırıkları önlemeye ve günlük yaşamı daha güvenli hale getirmeye yardımcı olur.
Hastalığın belirtileri arasında tekrarlayan kemik kırıkları, boy kısalığı, eğri kemikler ve bazen diş sorunları yer alır. Özellikle çocukluk ve ergenlik döneminde bu belirtiler daha belirgin hale gelir. Aileler, sık kırık yaşayan çocuklarda dikkatli olmalı ve düzenli kontrolleri aksatmamalıdır.
Kemik kırıkları sıklaşıyor, deformiteler artıyor veya hareket kısıtlılığı başlıyorsa cam kemik hastalığı tedavisi uygulanır. Tedavi, kemik yoğunluğunu artırmayı ve kırıkları önlemeyi amaçlar. İlaç tedavisi, fizik tedavi ve gerekirse cerrahi yöntemler tedavi planının temel unsurlarıdır. Hastanın yaşı, kırık geçmişi ve genel sağlık durumu dikkate alınarak kişiye özel bir plan hazırlanır.
Sonuç olarak, sık kırık yaşayan, kemik deformitesi veya hareket kısıtlılığı olan kişiler için bu yaklaşım uygundur. Düzenli takip, egzersiz ve uygun cerrahi müdahaleler sayesinde hastalar günlük yaşamlarını güvenle sürdürebilir. Kırık riski azalır, kemik sağlığı korunur ve uzun vadede yaşam kalitesi artar.
Cam Kemik Hastalığı Tedavisi Nasıl Yapılır?

Kemiklerin aşırı kırılgan olduğu genetik bir hastalık, yaşamı ciddi şekilde etkiler. Tedavi, kırıkları önlemeyi, kemik yoğunluğunu artırmayı ve yaşam kalitesini yükseltmeyi amaçlar. Tedavi planı hastanın yaşına, kırık geçmişine ve genel sağlık durumuna göre belirlenir. Hem ilaç hem fizik tedavi hem de cerrahi yöntemler sürecin temelini oluşturur.
İlaç tedavisi, kemik metabolizmasını destekler ve kemik mineral yoğunluğunu artırır. Özellikle büyüme çağındaki çocuklarda, kemiklerin güçlenmesini sağlamak ve kırık riskini azaltmak için düzenli olarak uygulanır. Bu dönemde doktor kontrolü, ilacın etkinliğini ve olası yan etkileri takip etmek açısından önemlidir.
Fizik tedavi, kasları güçlendirmek ve eklem hareket açıklığını artırmak için uygulanır. Egzersizler, hastaların günlük yaşamda daha güvenli hareket etmesini sağlar. Ayrıca düşme ve travmalara karşı koruma sağlayarak kırık riskini azaltır. Gerekli durumlarda cerrahi müdahale planlanır. Bu müdahale, kırıkların onarımı veya kemik deformitelerinin düzeltilmesi için yapılır.
Sonuç olarak, kemik sağlığını korumak ve kırık riskini azaltmak isteyen hastalar için bütüncül yaklaşım gerekir. Düzenli takip, doğru egzersiz ve uygun cerrahi yöntemlerle hastalar günlük yaşamlarını güvenle sürdürebilir. Cam kemik hastalığı tedavisi, hem kırıkları önlemeye hem de uzun vadede sağlıklı bir kemik yapısı oluşturmaya yardımcı olur. Hastalar, disiplinli bir tedavi planı ile daha güvenli ve aktif bir yaşam sürdürebilir.
Cam Kemik Hastalığı Tedavisi Sonrası Süreç Nasıldır?
Tedavis sonrası süreç, hastanın güvenliği ve sağlıklı iyileşmesi için önemlidir. İlk günlerde kemiklerde hassasiyet ve hafif ağrı görülmesi normaldir. Hastalar düşme riskini azaltmalı ve ağır aktivitelerden kaçınmalıdır. Doktorun verdiği ilaçlar, ağrı ve iltihap riskini azaltmak için düzenli kullanılmalıdır.
Fizik tedavi, sürecin temel kısmını oluşturur. Kasları güçlendiren ve eklem hareket açıklığını artıran egzersizler, hastaların günlük yaşamda güvenle hareket etmesini sağlar. Egzersizler uzman gözetiminde yapılır ve hastanın yaşına ve kemik durumuna göre uyarlanır. Sabır, sürecin sorunsuz ilerlemesi için önemlidir.
Hastaların çoğu, tedavi ve rehabilitasyonun ilk haftalarından itibaren günlük işlerine dönebilir. Bu süreç yavaş ve dikkatli ilerler. Bu süreç, yavaş ve dikkatli bir şekilde ilerler. Kemiklerin tamamen güçlenmesi ve kırık riskinin azalması aylar sürebilir. Düzenli doktor kontrolleri, tedavi planının etkinliğini ve gerekli müdahaleleri takip etmek için önemlidir.
Sonuç olarak, kemik sağlığını korumak ve kırıkları önlemek isteyen hastalar için cam kemik hastalığı tedavisi etkili bir çözümdür. Doğru egzersiz, düzenli takip ve güvenli yaşam alışkanlıkları ile hastalar kısa sürede normal aktivitelerine dönebilir. Bu yaklaşım, kemik yapısını güçlendirir ve yaşam kalitesini artırır.